Explore real patient transformations at Northwest Dental and Implant Centre. Our smile gallery showcases a range of treatments, from whitening and veneers to implants, bridges and full smile makeovers.


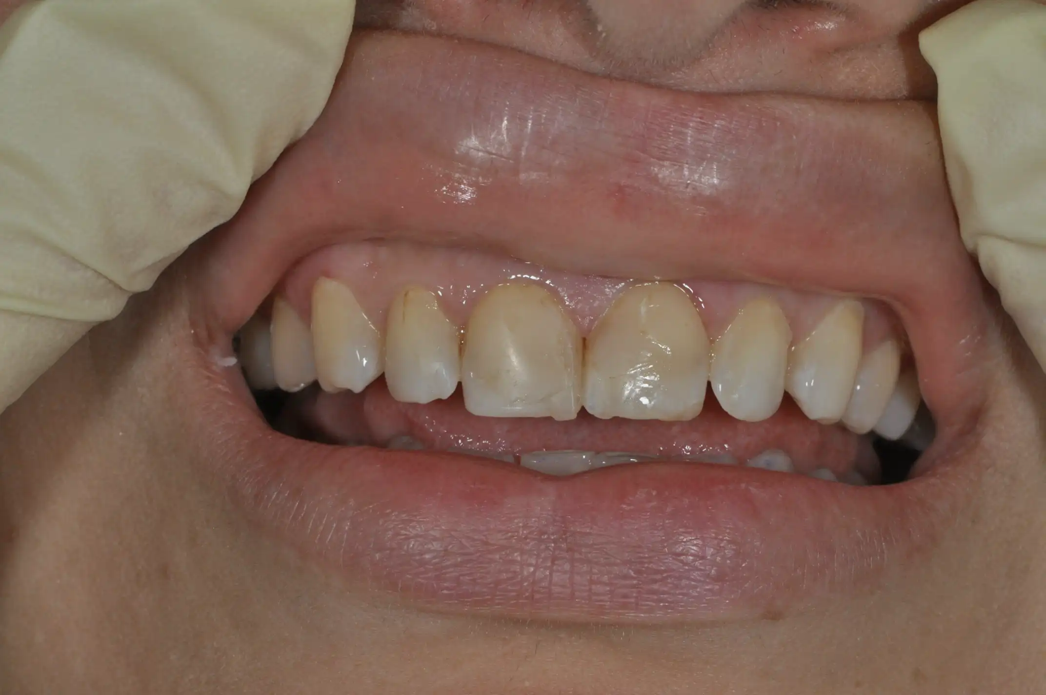
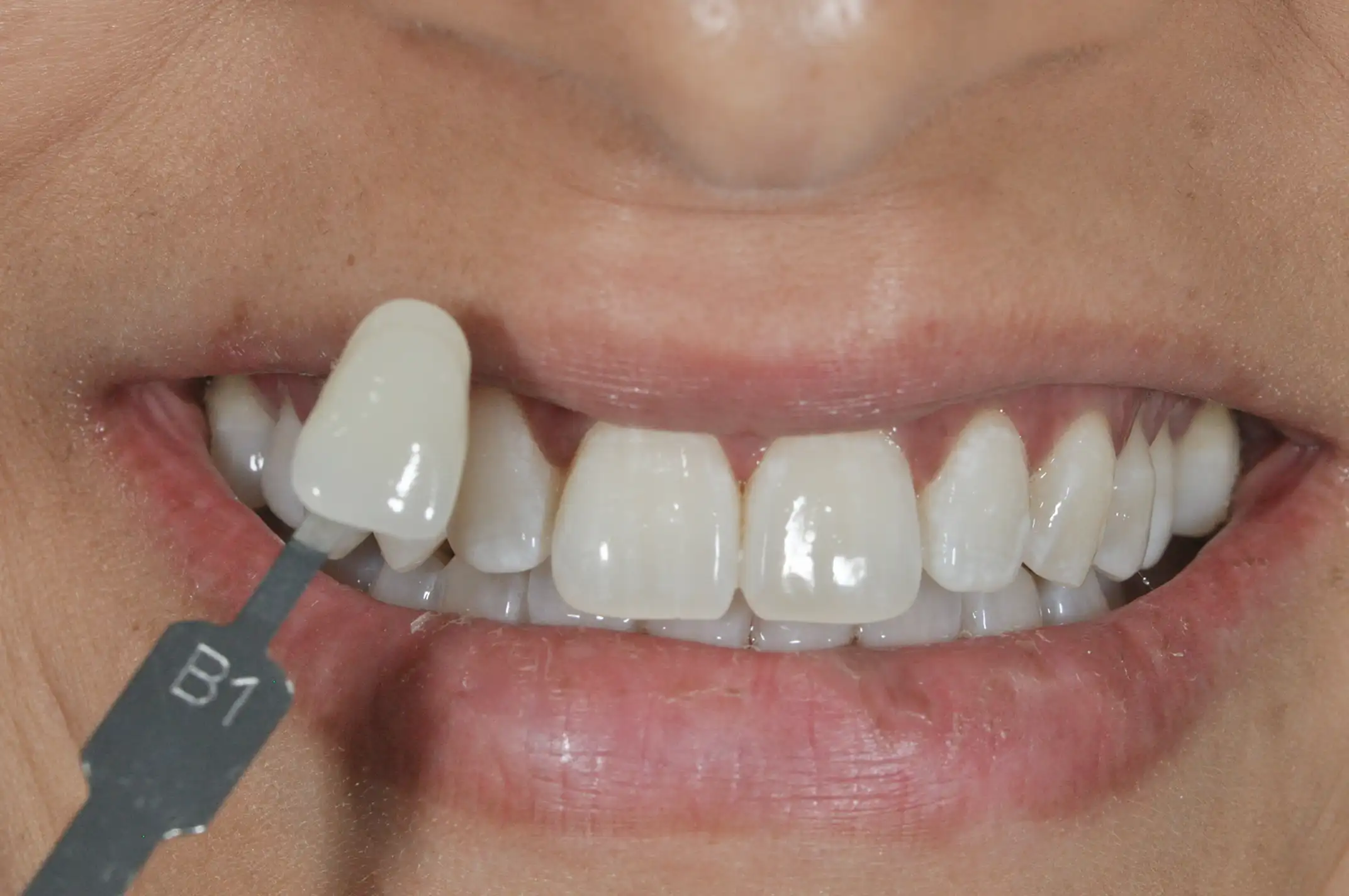
Patient A achieved a brighter, more balanced smile through the placement of composite veneers. These veneers were meticulously designed to enhance the shape, colour, and symmetry of each tooth, creating a harmonious and natural look.
The transformation not only improved the overall aesthetics but also boosted the patient’s confidence, showcasing how subtle refinements can make a dramatic difference in a smile’s appearance.
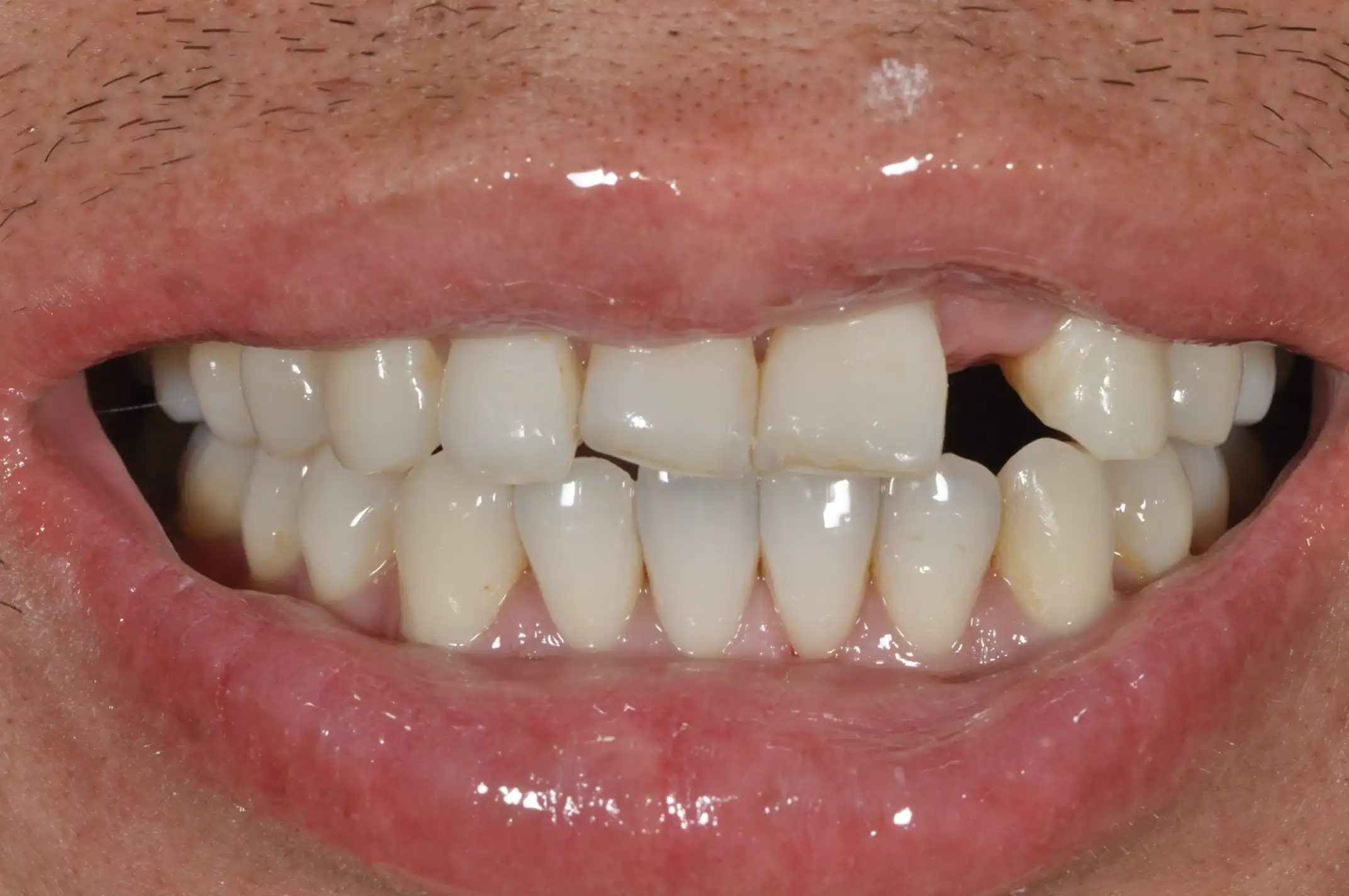
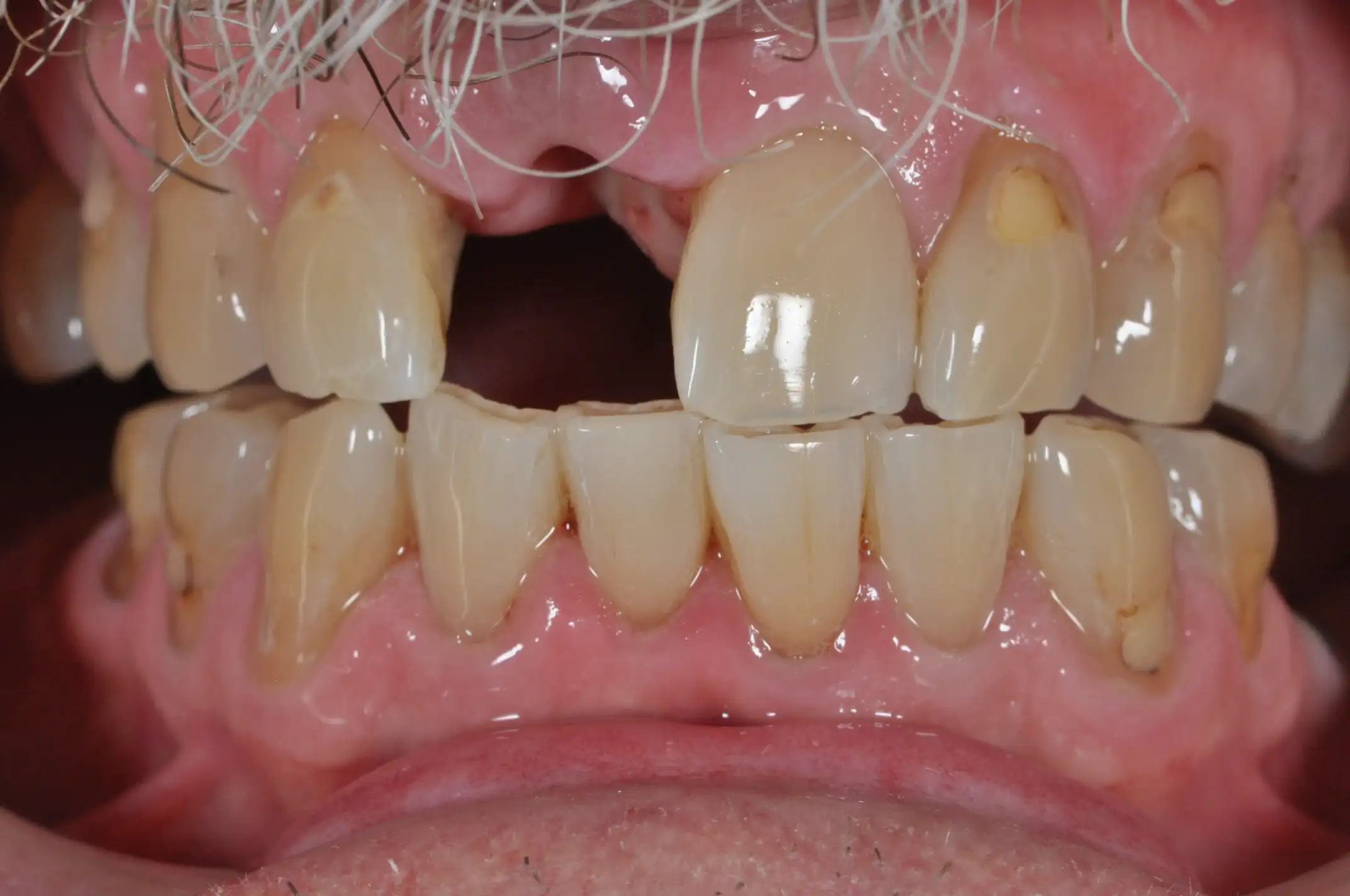
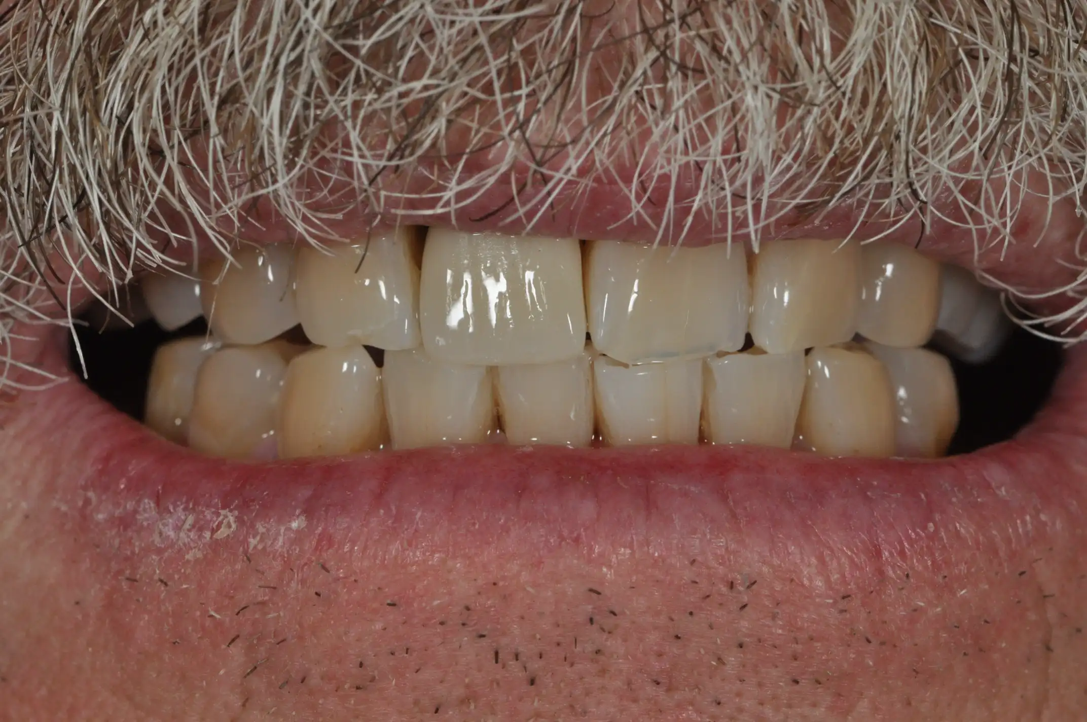
Patient B had noticeable gaps and areas of decay that were affecting both the function and look of their smile. Through careful restoration using a precisely crafted dental bridge and seamless composite fillings, we were able to rebuild the affected teeth and close the spaces.
The result is a healthy, natural-looking smile that restores proper alignment, comfort, and confidence.




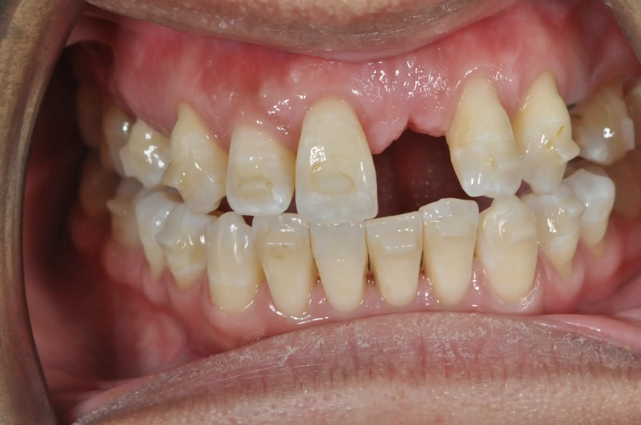
Do the same for Patient C was missing a tooth that affected both appearance and bite function. We restored the smile with a durable, custom implant crown designed to blend perfectly with the surrounding natural teeth. The implant restoration not only reinstated a full, even smile but also provided lasting stability and strength.
The result is a flawless replacement that feels and functions like a natural tooth.
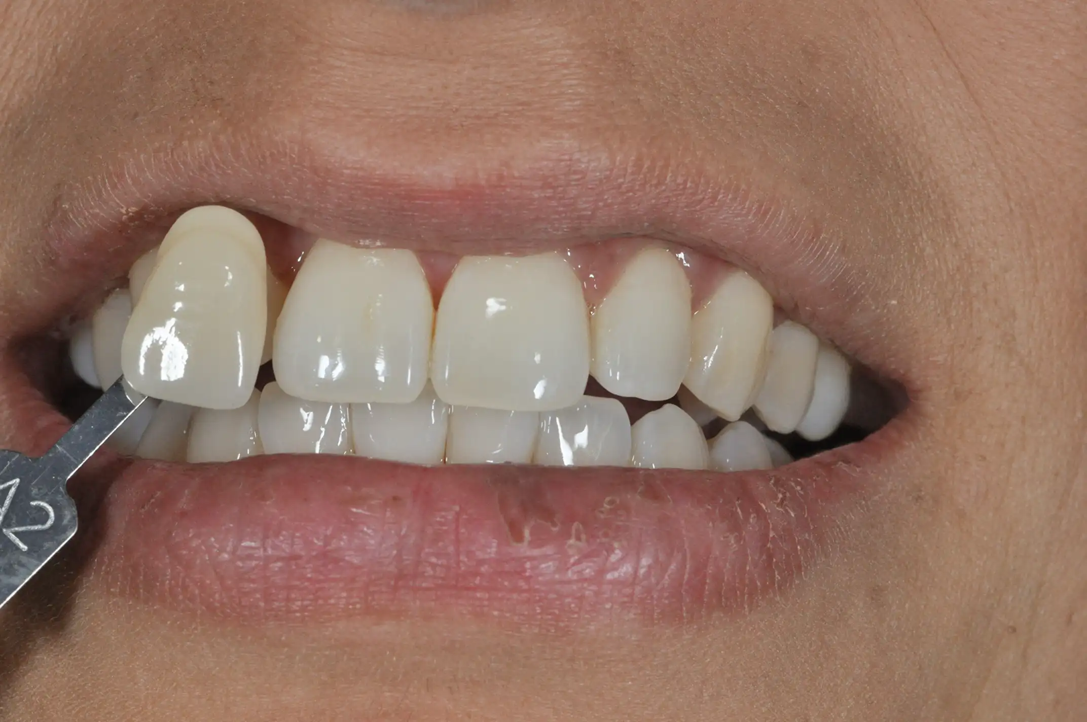
Patient D underwent a professional whitening treatment to address years of discolouration and surface staining. Our advanced whitening system gently lifted deep-set stains, revealing a noticeably whiter, brighter, and more radiant smile.
The improvement enhanced not only the overall aesthetics but also the patient’s confidence — proving how powerful a refreshed, luminous smile can be.




Patient E was missing multiple teeth, which impacted both function and appearance. We restored their smile using a stable, custom-designed implant bridge that provided strength, durability, and an incredibly natural look. The new restoration allowed for improved chewing and speech, while seamlessly completing the smile.
The result is a functional, confident, and aesthetically pleasing transformation that beautifully restores quality of life.
Patient F received a comprehensive smile makeover that combined multiple advanced treatments, including professional whitening, a Zirconia Maryland Bridge, and precision composite bonding. Each element was tailored to complement the patient’s natural features, achieving a beautifully balanced, radiant, and authentic smile.


